Noi e terze parti utilizziamo cookie o tecnologie simili per finalità tecniche e, con il tuo consenso, anche per altre finalità ("miglioramento dell'esperienza" e "tracciamento") come specificato nella Privacy + Cookie Policy. Puoi liberamente prestare, rifiutare o revocare il tuo consenso, in qualsiasi momento. Puoi acconsentire all’utilizzo di tali tecnologie cliccando uno dei pulsanti sottostanti o chiudendo questa finestra informativa (in tal caso verranno utilizzati tutti i cookie).
Descrizione  
Questa opzione garantisce una navigazione completa prevedendo sia l'utilizzo dei cookie tecnici (selezione lingua, scelte del navigatore, etc.) che l'utilizzo dei cookie che effettuano tracciamento come quelli generati da Google Analytics.
Descrizione  
Questa opzione prevede l'utilizzo esclusivamente di i cookie tecnici (selezione lingua, scelte del navigatore, etc.) strettamente necessari per garantire il funzionamento del servizio richiesto.
Descrizione  
Rifiuto totale. Il sito, in questo caso, potrebbe essere limitato relativamente ad alcune funzioni. L'unico cookie previsto è quello che definisce il tuo rifiuto.
  • Home
  • Chi sono
  • Lo studio
  • Servizi
  • Contatti
  • Casi
  • Home
  • Chi sono
  • Lo studio
  • Servizi
  • Contatti
  • Casi
studio dentistico  Giorgio De' Luca

Casi

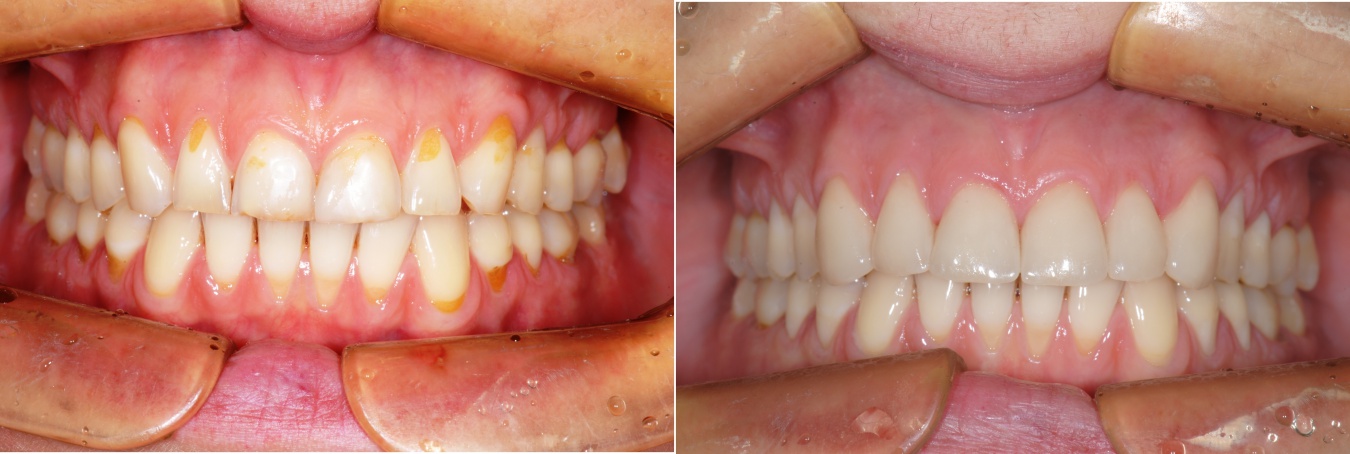
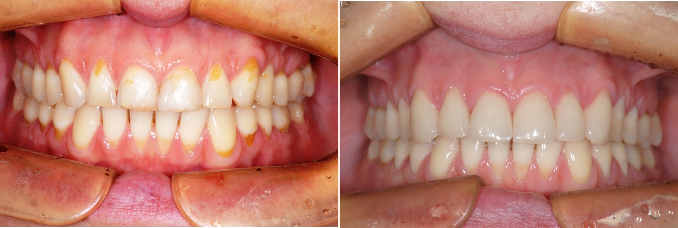
Trattamento 01
Trattamento 01
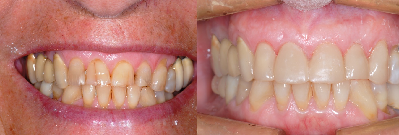
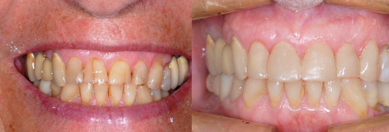
Trattamento 02
Trattamento 02
Faccette in ceramica
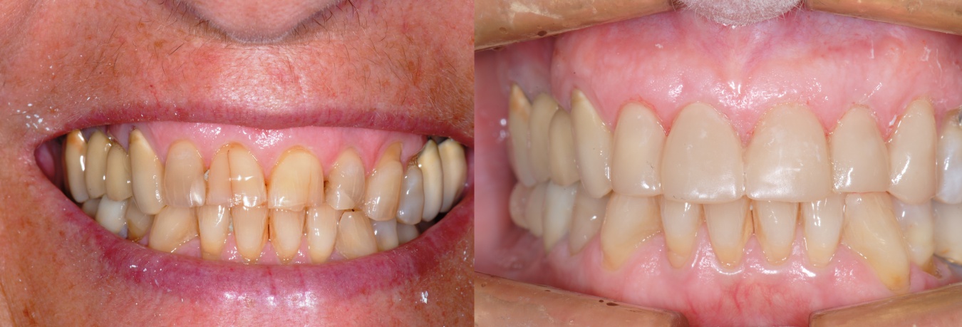
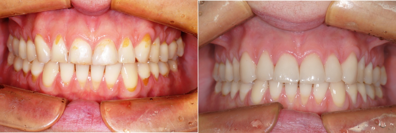
Trattamento 03
Trattamento 03
Riabilitazione implanto-protesica completa superiore e inferiore
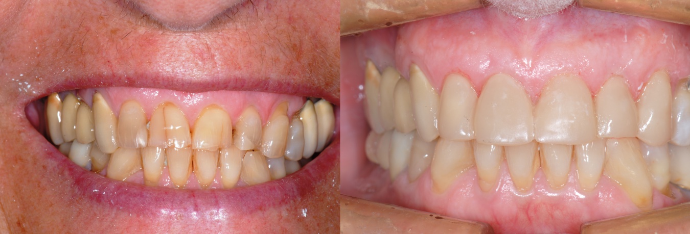
Trattamento 04
Trattamento 04
Faccette in ceramica
Privacy PolicyStudio Dentistico Giorgio De' LucaPiazza Brignole, 3/2b Tel. 010588295 Fax. 01088683062 Cell. +393319432605 P.Iva: 01968280998 C.Fisc.: DLCGRG62H13D969GEmail: studiogiorgiodeluca@gmail.comweb360Login